Los hemoparásitos son
ciertos organismos unicelulares muy diminutos, microscópicos de varios tipos
que se suelen alojar en los glóbulos rojos y blancos provocando enfermedades de
nivel grave. Estos pequeños organismos se encuentran entre los primeros lugares
en el ranking de las causas de muerte de los animales de cualquier especie. Los hemoparásitos también suelen estar
libres dentro de la sangre, estos generan una anemia grave y terminan causando
la muerte al animal.
Los hemoparásitos son
transmitidos por medio de las garrapatas, la gran gravedad de la enfermedad que
genera hace fundamental el diagnóstico rápido y efectivo para poder salvar la
vida del animal. Las muestras para hacer los estudios se pueden tomar tanto de
sangre periférica como central, para hacer diversos análisis clínicos.
Los Tres Hemoparásitos famosos
Hay principalmente
tres tipos de hemoparásitos entre
los cuales podemos encontrar los protozoarios, las ricketsias y las
micoplasmas. Estos organismos son denominados también como piroplasmosis o
tristeza, los cuales en el ser humano son conocidos por causar la malaria, la
enfermedad de Chagas o la enfermedad del sueño. De manera clínica, estas
enfermedades se denominan según el agente que lo causa como por ejemplo:
-Babesiosis
-Anaplasmosis
-Ehrlichiosis
-Haemobartonelosis
-Trypanosomiasis
Entre otros. Las
especies de animales que afectan son a los mamíferos, las aves, los reptiles,
los anfibios y los peces. Siendo los
hemoparásitos muy específicos de especie ya que el factor común de todos
ellos son transmitidos por vectores, que son el instrumento biológico que usan
estos organismos para su conservación, difusión y transmisión. En este caso, la
garrapata luego de haber picado al animal para extraer su sangre, conduce por
medio de su trompa a los hemoparásitos
directo al torrente sanguíneo de la víctima.
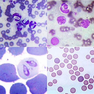
Su diagnóstico
Sin importar el
grado de experiencia que posea cada veterinario, es fundamental realizar
análisis de sangre para determinar cuál de todos los hemoparásitos está operando en la sangre, puesto que con
síntomas muy parecidos conllevan a un mismo tratamiento. Hay hoy en día pruebas
de diagnóstico rápido, los cuales analizan uno o más de estos pero no alguna de
diagnostique a todos, así que nada realmente sustituye un buen frotis o
extendido de sangre, y examinado de manera tranquila por el microscopio.
Primeramente lo
que se tiene que hacer es controlar el instrumento biológico, es decir, la
garrapata quien es la que contamina a los animales en masa, generando una
enfermedad de las que ya hemos hablado. Una vez que se ha instalado la
enfermedad, se tiene que diagnosticar cual es el hemoparásito que está actuando debido a los diversos
tratamientos. Los recomendable siempre es consultar al médico veterinario ante
cualquier sospecha y que sea él quien indique el tratamiento que se deba
aplicar a nuestra mascota.
Sí bien cada uno
de los hemoparásitos tienen sus
características específicas en cuanto al desarrollo e incubación de su
enfermedad, hay factores que podemos comparar gracias que son muy comunes,
entre los cuales podemos observar:
-Anemia (mucosa pálida)
-Pérdida de apetito
-Perdida del ánimo
-Dificultad respiratoria
-Sangrado nasal
-Letargia
Sí no se detecta
el diagnostico al momento, y se le es aplicado el tratamiento adecuado al
animal la muerte de este es segura.





¡COMENTA!: